Case Report
Coexistence of Primary Tuberculosis and Metastatic Ductal Carcinoma in Axillary Lymphnode: Report of a Rare Case
* Hossain MI,1 Sadaf A,2 Sultana N,3 Khan AS4
- * Mohammad Ismail Hossain. Lecturer, Department of Pathology, Chattogram Medical College, Chattogram, Bangladesh.ismail. tushar@gmail.com
- Anika Sadaf, MD (Pathology) Phase B Student. Department of Pathology, Chattogram Medical College, Chattogram, Bangladesh.
- Nahid Sultana, Senior Consultant, Obstetrics & Gynaecology, Chandpur 250 bed General Hospital, Chandpur, Bangladesh.
- Professor Dr. AKM Shahabuddin Khan, Ex Professor, Department of Pathology, Cumilla Medical College, Cumilla, Bangladesh. Chief Consultant, Cytosite (Histopathology Laboratory), Chandanpura, Chattogram.
*For correspondence
Abstract
Concomitant breast cancer metastasis and tubercular lymphadenitis in axillary lymph node is an extremely rare occurrence. Co-existence of two pathologies in one organ always poses a diagnostic and therapeutic challenge. Here, we report a case of 47-years old female presented with lump in the right breast. Fine-needle aspiration cytology (FNAC) from breast and axillary lymph node revealed ductal carcinoma with axillary metastasis. The patient underwent total mastectomy with axillary lymph node dissection and microscopy showed concomitant presence of metastatic tumor and tubercular lymphadenitis in axillary nodes. Majority of previously reported cases were breast cancer with axillary lymphadenopathy having tubercular foci, while our patient had a metastatic carcinoma and tubercular granulomatous foci in the same lymph node with the absence of tubercular foci elsewhere. The case is being reported for its rarity. It also indicates that FNAC can fail to detect mixed lesions unless multiple punctures from many sites are performed.
[Journal of Histopathology and Cytopathology, 2019 Jul; 3 (2):162-166]
Key Words: Ductal carcinoma, Tuberculosis, Metastasis, Axillary lymph node, Coexistence
Introduction
The synchronous occurrence of tuberculosis and carcinoma is unusual. Coexistence of tuberculosis and metastatic carcinoma in axillary lymph nodes, without pulmonary or mammary tuberculosis is even rarer.1 It is always adiagnostic and therapeutic challenge that simultaneous presence of two diseases in one organ. Though carcinoma of the breast and tuberculosis (TB) both are common in developing countries, their coexistence is uncommon.2 Warthinfirst described two cases of coexistence of TB and carcinoma of mammary glands in axillary node in 1899.3 Kaplan et al. examined the frequency of the coexistence between different cancer types and TB in a retrospective study and reported that the prevalence of TB was 19 per 10,000 cases of breast cancers.4 Here we report a rare case of metastatic duct cell carcinoma of breast in axillary lymph nodes harboring tubercular lymphadenitis that was incidentally discovered during the histological examination, wherein no evidence of tuberculosis was found elsewhere.
Case Report
A 46-years old multiparous woman presented at out-patient department of Chattogram Medical College Hospital with the history of painlesslump in her right breast for about last one and halfmonths. On examination, a fixed and hard nodule measuring 3 cm in diameter was palpable in the lower outer quadrant of right breast.The overlying skin, areola and nipple were apparently normal. Multiple right axillary nodes, ranging from 0.5 to 2 cm in diameter were also palpable with mild tenderness. No palpable lump was detected in contralateral breast & axillaand no cervicalor inguinal lymphadenopathy. There was no past history/family history of tuberculosis, malignancy or any other chronicmedical illness.She was taking combined oral pills for contraception for about 20 years.
The ultrasonographyrevealed a nodule of 46x39x32 mm in the lower outer quadrant of the right breast, associated with a group of axillary lymph nodes the largest one measuring 22×15 mm.

Routine hematological & biochemical tests were within normal limit except a hemoglobin level of 9.2 g/dl with raised ESR and chest X-ray showed unremarkable change. Fine needleaspiration cytology (FNAC) from right breast lump revealed highly cellular smears showing atypical ductal cells in clusters and dispersed singly. The cells had moderately pleomorphic nuclei, coarsely granular chromatin and 1–2 prominent nucleoli. FNAC from the largest axillary node revealed tumor metastasis. A diagnosis of ductal carcinoma with axillary metastasis was given on cytology. A right modified radical mastectomy performedandthe specimens were sent to Cytosite (A private cyto-histopathological laboratory) for histopathological diagnosis. Specimen showed a firm to hard, whitish about 40×35 mm nodular lump in the breast. On axillary dissection, eight lymph nodes were isolated larger one measured 20 mm in diameter. Cut surface ofmost of the nodes were adherent and gray-white in colour (Figure 1).
The histological examination revealed a tumor composed of neoplastic ductal cells arranged in cords, nests and tubules invading into the stroma. These cells had moderate amount of cytoplasm with moderate nuclear pleomorphism and 1-2 prominent nucleoli. Mitotic count was less than ten/10 high power fields. Surgical resection margins were free of tumor, where the base was tumor-free. Lymphovascular tumor emboli were also evident with no perineural involvement.
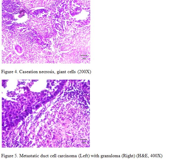
Out of eight nodes three showed tumor metastases and two of the lymph nodes showed epithelioid cell granulomas with Langhans type giant cells and central caseaous necrosis (Figure 3, 4, 5).



Immunohistochemical (IHC) examination revealed overexpression of estrogen & progesterone receptor and negativity for Her-2/neu in the breast lesion. With these findings, diagnosis of “invasive ductal carcinoma, grade II (Nottingham modification of Bloom Richardson grade) with concomitant regional nodal metastasis done and caseating granuloma” found, so “AJCC staging II”was made. Since preoperatively tuberculosis was not suspected and no other clinical feature of TB was found, mantoux test, culture, serology or polymerase chain reaction were not performed. Due to unavailability modified Ziehl–Nielsen staining on axillary tissue and CD68 immunostain for epithelioidhistiocytes not done.
Discussion
TB remains a major public health problem worldwide. According to the Global Tuberculosis Report 2018, it affected 10 million people in 2017 and is responsible for 1.2–1.4 million deaths globally in HIV-negative patients. It is caused by Mycobacterium tuberculosis and most often affects the lungs. About 23% of the world’s population (1.7 billion people) has latent tuberculosis, with a risk of reactivation of 5–15%.5 Tubercular lymphadenitis is the most common form of extra pulmonary tuberculosis. But isolated axillary tubercular lymphadenitis without any evidence of clinical disease in any other organ is extremely uncommon in adults. Axillary tubercular lymphadenitis can be accounted for by either retrograde spread from the mediastinal nodes or hematogenous spread from a subclinical focus.
An alternative explanation for the co-occurrence of TB and metastasis could be activation of a silent Mycobacterium tuberculosis infection due to immunocompromised state in cancer patients.6 Tubercle bacillus can exist in a state of microbial latency within the macrophage of the granulomas for the lifetime. Factors that disturb host immunity can allow the tubercle bacillus to cause endogenous reinfection.7
In general, TB is diagnosed by clinical history, erythrocyte sedimentation rate, chest X-ray, Ziehl–Nielsen staining, polymerase chain reaction (PCR)based detection of acid fast bacilli (AFB) and others. But a significant proportion of cases of extra-pulmonary TB may be negative for chest X-rays or regular stains for AFB.8
The clinical features of breast carcinoma may reveal nodules and ulcerations,appearance of lymphadenopathies lead us to suspect a metastatic tumor. It is the histological examination that enabled making the differential diagnosis.9 Ina few cases diagnosis have been made through preoperative investigations like cytology or core biopsy. PET-CT as we know is the imaging of choice in certain cancers like lung cancer, its role in breast cancer is limited.8
Breast cancer patientsalso may suffer reactivation of TB during their treatment. It not only disturb the treatment protocol but also the clinical and radiologic findings confuse the follow up process since a malignant and a tubercular lesion may be indistinguishable.7 Axillary lymph node metastasis is the most important factor in the staging of ductal carcinoma and the number of metastatic axillary nodes alter the stage. As tuberculosis also produces nodal enlargement, this can mimic or complicate the staging of malignant disease.6 Therefore, pathologists and lab technicians should also be aware and vigilant in ruling out possible differentials such as metastasis, tuberculosis, fat necrosis, actinomycosis, suture granuloma accordingly.10
Conclusion
Simultaneous presence of axillary tubercular lymphadenitis and metastatic carcinoma is a significant but rare event that can confuse and complicate the diagnosis, grading, staging and most importantly, the treatment of the disease. It is important for the physician in endemic countries like ours to consider the possibility of a granulomatous disease masquerading as axillary metastasis in order to correctly address both diseases.
References
- Pandey M, Abraham EK, Chandramohan K and Rajan B. Tuberculosis and metastatic carcinoma coexistence in axillary lymph node: A case report. World Journal of Surgical Oncology; 2003;1(3):1-3.
- Tulasia NR, Rajub PC, Damodaranb V and Radhikab TS. A spectrum of co-existent tuberculosis and carcinoma in the breast and axillary lymph nodes: Report of five cases.The Breast; 2006;15:437–439.
- Caroppo D, Russo D, Merollam F, Ilardi G, Caro MD, Lorenzo PD, Varricchio S, Mascolo M and Staibano S. A rare case of coexistence of metastasis from head and neck squamous cell carcinoma and tuberculosis within a neck lymph node. Diagnostic Pathology; 2015;10(197):1-3.
- Kaplan MH, Armstrong D, Rosen P. Tuberculosis complicating neoplastic disease:A review of 201 Cases. Cancer 1974;;33:850-858
- Almeida S, Valentim M, Neto C, Cerol M, Boticário M, Santos MI, Gameiro A. Extrapulmonary Tuberculosis Presenting as a Suspected Case of Metastatic Breast Cancer. European Journal of Case Reports in Internal Medicine 2019. DOI:10.12890/2019_001062
- Pujani M, Khan S, Hassan MJ, Jetley S and Raina PK. Coexistence of metastatic breast carcinoma and primary tuberculosis in axillary lymph nodes: A report of a rare case; Breast Disease. 2015;35:195–198.
- Baslaim MM, Al-Ghamdi MA, Al-Numani TS, Ashour AS and Al-Amoudi SA. Tuberculosis in 7 breast cancer cases: Diagnostic and therapeutic challenges. J Mycobac Dis; 2013;3(3):1-4.
- Mukhopadhyay T, Nandi M, Bhattacharya S, and Khan EM. Contralateral contiguous tuberculous lymphadenitis in a case of right breast carcinoma – Diagnostic dilemma. J Can Res Ther.2015;11:102-6.
- Ouedraogo AS, Bambara HA, Ademayali FAH, Ramde WN, Sawadogo RJ, Savadogo I, Ouattara S, Barry1 H, Lamien AS, Lompo OM. Anatomo-clinical case: coexistence of tuberculosis with axillary lymph node metastasis in breast carcinoma. Open Journal of Pathology; 2018;8:132-138.
- Lee CH. and Sharif SJ. Primary breast tuberculosis (TB) in a patient with known invasive breast carcinoma: A case report. Med J Malaysia.2016;71(3):149-151.