Cytological Findings of Testicular Fine Needle Aspiration of Azoospermic Men
*Alam MA,1 Islam MS,2 Hossain N3
The technique of fine needle aspiration (FNA) has a role as a reliable, quick and easy method of obtaining testicular cells. Recent advances in the management of male infertility or sub fertility and in particular, the finding that spermatozoa recovered from epididymis and testis can result in embryo generation after intracytoplasmic sperm injection (ICSI), question the traditional role of open testicular biopsy for the assessment of spermatogenesis. The purpose of this article was to find out the role of testicular fine needle aspiration cytology in male infertility and to provide brief information on method of needle aspiration, interpretation of testicular fine needle aspiration cytology for evaluation of spermatogenesis, its advantages, limitations and complications as compared to testicular biopsy. Adequate sample were obtained from 62 (84.93%) cases, while 11 (15.06%) cases had inadequate smears where cytological examination could not be possible. The adequate smears were categorized as maturation arrest in 25 (40.32%) cases, sertoli cell only in 21(33.87%) cases, normal spermatogenesis in 10 (16.12%) cases and hypospermatogesis in 6 (9.67%) cases. Testicular FNAC is a significant laboratory technique for the investigation of selected cases of male infertility. Compared to open biopsy, FNA has a number of advantages. Infertile male with severe spermatogenesis disorders can give birth to their own children, whereas only a few years ago the same group of men had only to choose between sperm donation and adoption.
[Journal of Histopathology and Cytopathology, 2018 Jan; 2 (1):51-55]
Key words: Cytology, Fine needle aspiration, testis, azoospermia
- *Dr. Md. Ashraful Alam, Associate Professor, Department of Pathology, Rangpur Medical College. drashraful09@gmail.com
- Md. Shahidul Islam, Associate Professor, Department of Urology, Rangpur Medical College, Rangpur.
- Nusrat Hossain, Junior Consultant, Gynaecology and Obestritics.Palashbari Health Complex, Gaibandha.
*For correspondence
Introduction
Fine needle aspiration cytology (FNAC) of superficial as well as of deep seated lesions today is a well recognized diagnostic procedure for the diagnosis of neoplastic as well as non-neoplastic and inflammatory lesions. Recently, it has gained popularity for its diagnostic and therapeutic role in male infertility. Since times immemorial the wife has always been blamed for infertility especially in third world countries. Failure to find sperms in post coital test, conducted by Max Huhner in 1913, raised the possibility that husband could be responsible for infertility or sub-fertility. Approximately, 20% cases of infertility are caused entirely by male factor with additional approximately, 30% to 50% of infertile couples.1,2 Azoospermia or absent sperm in semen occurs in approximately, 5% to 10% of infertile men who are evaluated.2 Azoospermia may be obstructive azoospermia (OA) or non-obstructive azoospermia (NOA). The obstructive may have no significant effect on spermatogenesis and may be amenable to surgery, whereas, before introduction of intracytoplasmic sperm injection (ICSI), the only available option for men with NOA was adoption or sperm donor. Assessment of spermatogenesis is an important component in the diagnostic algorithm of male infertility. Traditionally, the testis biopsy has been the gold standard in this evaluation because it provides information in cases of both suspected obstruction and in failing on obstructed testes. Any technique to assess spermatogenesis must be minimally invasive and must conserve as much testicular tissue as possible. It should not only provide qualitative but also quantitative information about spermatogenesis. In addition to answering the question whether sperm production is normal, it must also address whether sperms are present at all within the testis, as with advances in field of reproductive medicine, even a single sperm can now give men with NOA chance to enjoy biological fatherhood.3 FNAC of the testis is a simple, quick, minimally invasive and painless procedure. The sample can be obtained in outpatient department, can be more representative than biopsy as several separate punctures can be made in one sitting, and there is no local severe pain, haematoma or scarring.
The purpose of this study was to find out the role of testicular fine needle aspiration cytology in male infertility and to provide brief information on method of needle aspiration, interpretation of testicular fine needle aspiration cytology for evaluation of spermatogenesis, its advantages, limitations and complications as compared to testicular biopsy.
Methods
This is an observational study. Fine needle aspiration was performed in 73 azoospermic persons from January 2016 to June 2017 in a private diagnostic laboratory of Rangpur city, Bangladesh. Detailed history and physical examination was performed on all azoospermic people. In addition, semen analysis report was evaluated to confirm azoospermia. Hormonal evaluation including testosterone and FSH levels were obtained in the majority of cases.
FNA Technique
Testicular FNA was done under local anesthesia. The scrotal skin was cleaned by spirit and cotton and bilateral spermatic cord block was achieved by giving 5 to 7 ml of 2% lignocaine. To quicken the distribution of anesthetic, spermatic cord was gently massaged after injection. After several minutes the testis was firmly palpated to ensure absence of pain. Then the testis was positioned with epididymis and vas deferens directed posteriorly, safe from injury. The scrotal skin was stretched taut over the testes by wrapping the scrotal skin behind the testes with a sponge. Testes was aspirated at three different sites, upper, middle and lower part, using 23 G needle with 10 ml disposable syringe attached to it. Precise gentle in and out movement, varying from 5-8 mm were used. After aspiration, the persons were advised for rest for at least ten minutes. Aspiration was done from both testes for evaluation of spermatogenesis. Slides were prepared from the aspirated material and fixed in 95% alcohol and stained with Papanicolaou (Pap) stain.
Contraindication for bilateral testicular sampling included the presence of local skin infection, hydrocele, orchialgia or previous biopsy.
FNA Interpretation
All stained FNA cytological smear was interpreted for:
- The presence or absence of mature spermatozoa with tails.
- Specimen adequacy, as previously reported, an adequate, and informative, FNA specimen was defined as one that contained at least 100 clusters of 20 or more cells or at least 2000 well-dispersed testicular cells.4
Results
FNA was performed in 73 cases of azoospermic men. The mean age of these men was 32.5 years with a range from 22 to 50 years with period of infertility more than one year. The testicular aspirates were adequate for opinion in 62 cases (Table I) out of 73 cases. The cytological diagnoses in aspirate from 73 cases are depicted in (Table II).
Table I: Adequacy of testicular smears
| Type of sample | No of smears | % |
| Adequate | 62 | 84.93% |
| Inadequate | 11 | 15.06% |
Adequate smears were categorized on cytological examination into Table II:
- Normal spermatogenesis in 10 (16.12%) cases.
- Sertoli cell only in 21 (33.87%) cases.
- Hypo spermatogenesis in 6 (9.67%) cases.
- Maturation arrest in 25(40.32%) cases.
Normal spermatogenesis of testes on FNA revealed all germ cell maturation steps from spearmatogonia till mature spermatozoa.
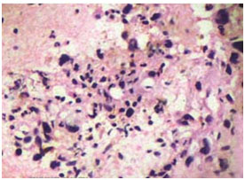
Maturation arrest category shows no spermatozoa, with presence of immature germ cells, including primary spermatocytes and spermatids.
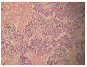
Sertoli cells only on FNA of testes showing only sertoli cell.
Spermatogonia were seen as large cells with round nuclei and finely granular chromatin with a thin rim of cytoplasm 5
During our study 2 (2.73%) person complained severe pain. No one complained prolong pain or any haematoma formation.
Table II: Cytological diagnosis of 73 cases
| Cytological diagnosis | No. of cases (%) |
| Normal spermatogenesis | 10(16.12%) |
| Sertoli cell only | 21(33.87%) |
| Hypo spermatogenesis | 6(9.67%) |
| Maturation arrest | 25(40.32%) |
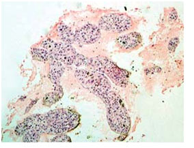
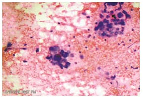
Figure 1. Photomicrograph showing sertoli cell only (x400)
Figure 2. Photomicrograph showing hypo- spermatogenesis (x400)
Discussion
Posner and Huhner first used testicular puncture biopsies in the investigation of human infertility that examined unstained samples for spermatozoa.6 Later fine needle aspiration of the testis pioneered by Obrant and Persson (1965) was proposed as a non invasive technique.6 Characterizing the cell types was straightforward, with not much difficulty in recognizing germ cells and sertoli cells were adequate. The materials aspirated by FNAC were adequate in majority of cases (84.93%). The adequacy rate has similarity with the findings of Ahmed.7 In our study, normal spermatogenesis was found by testicular FNAC in 16.12% of cases of azoosperic men. This finding, however, differed from the findings observed in a study done by Kuerin A et al.8 This may be due to small number of cases in our study. In our study maturation arrest and sertoli cell only found in 40.32% and 33.87% cases respectively which were similar to the findings found by Ahmed. In our study we found 9.67% cases of hypospermatogenesis which are similar to the findings of Ahamad SU et al9 and RC Adhikari findings.10
In the present study we have done multiple aspirations of both testes under local anaesthetia by cord blocking. Some author performed aspiration by giving per rectal diclofenac sodium suppository.
Most of the authors have performed FNA under general anaesthetia or local anaesthetia. Verma A K et al performed FNA without general or local anaesthetia and found the technique is well tolerated by the most patients.11 Single aspirate may not be truly representative.12 However some studies have described sampling in one testis.10,13 The study used sampling of both testes and findings were also different in both testes. Adhikari RC observed severe pain after FNA procedure in 31.68% cases and haematoma in 2.97% person. Which was completely different observation from our observation. Rajawanshi et al.14,15 observed only complication was prolonged pain in some patients. In our study we noted only 2.73% persons complained prolong pain but no haematoma formation, that are similar observation with Ahamad MSU et al.
Conclusion
Testicular FNAC is a significant laboratory technique for the investigation of selected cases of male infertility. Compared to open biopsy, FNA has a number of advantages; therefore, it is already used as a diagnostic and therapeutic method in some andrology centers. FNA combined with the introduction of ICSI (intracytoplasmic sperm injection) have revolutionized the management of male infertility in the recent years. Infertile male with severe spermatogenesis disorders can have their own children, whereas only a few years ago the same group of men had only to choose between sperm donation and adoption.
References
- Sigman M, Jarow JP. Male infertility. In:Walsh PC, Retik AB, Vaughan ED, Weij AJ, Kavoussi LR, Norvick AC, et al,editors. Campbell’s urology. 8th ed. Philadelphia, WB Saunders, 2003: p.1476.
- Jarow JP, Espeland MA, Lipshultz LI.Evaluation of the azoospermic patients. J Urol, 1989;142:62-5.
- Balselv E, Francis D, Jacobsen GK. Testicular germ cell tumors, Classification based on fine needle aspiration biopsy. Acta cytol, 1990; 34:690-94.
- Turek PJ, Cha I, Ljung BM. Systematic fine needle aspiration of testis: correlation to biopsy and results of organ ”mapping” for mature sperm in azoospermic men. Urology, 1997; 49:743-8.
- Tauchmanova L, Alviggi C,Foresta C, Srtina I, Gaolla A, Colao A, et al. Cytzoospermia with normal testicular function after allogenic stem cell transplantation: a case report. Hum Reprod 2007; 22:495-9.
- Persson PS, Ahren C,Orbant KO. Aspiration biopsy smear of testis in azoospermia cytology versus histological examination.Scand J Urol Nephrol, 1971; 5:22.
- Basim Sh. A. Cytological findings of testicular fine needle aspiration in a sample of azoospermic Iraqi patients. Mustansiriya Med Journal, 2012; V11 (2):24-28.
- Kurien A, Mammen K,Jacob S. Role of fine needle aspiration cytology (FNAC) of testes in male infertility.Indian J Urol, 2003;19:140-4.
- Ahamad MSU,Islam SMJ, Chowdhury, Khanam SA,Ahmed ASMM. Teasticular FNAC in Azoospermia. Chattagram Maa-O Shishu Medical College Journal, 2014;13(1):46-8.
- Adhikari R C. Testicular fine needle aspiration cytology in azoospermic males. Nepal Med Col J, 2009; 11(2):88-91.
- Verma AK, Basu D,Jayaram G. Testicular cytology in azoospermia. Diagn Cytopathol 1993; 9:37- 42.
- Skakkeback NE, Hammen R, Philip H, Rebbe H. Quantitation of human seminiferous epithelium.Histological studies in 44 infertile men and controls with normal chromosomal complements. Acta Pathol Microbiol scand 1973; 81:97-111.
- Mahajan AD, Ali NI,Walwalker SJ, Rege JD, Pathak HR. The role of fine needle aspiration cytology of the testis in the diagnostic evaluation of infertility. Brit J Urol Intl, 1999; 84:485-8.
- Rajwanshi A, Indhudhara R, Goswami AK et al. Fine needle aspiration cytology in azoospermic males. Diagn Cytopathol, 1993;9:37-42.
- Qublan HS, Al Jader KM, Al Kaisi NS, Alghoweri AS, Abu Khait SA, Abu Qamar AA, Haddadin E. Fine needle aspiration cytology compared with open biopsy histology for diagnosis of azoospermia. J Obstet Gynaecol, 2002; 22(5):527-31.










